АПять подкралась незаметно
Твою мать! Долазился! Вылетевшая фифа... срыв с приземлением на полку... дикая боль в лодыжке... нога, странно завернутая в сторону... пелена перед глазами... только бы не открытый... Мы вынуждены отступать ни с чем, хотя еще десять минут назад казалось, что самое сложное позади.
Позже уже в больнице много раз анализировал ситуацию. Где ошибка? Черт его знает. Основные сложности пройдены. Пугающую вертикальную часть стены с крайне бедным рельефом мы прошли в хорошем темпе. Вышли наконец к разломам. Вот тут то и должна была пойти пруха. Ан нет. Как мы шутили: «А5 подкралась незаметно», на самом деле, конечно А3, иначе я бы это уже не писал...
Переживаю ли я по поводу своего временного выхода из строя? Конечно да, но не сильно. Я просто принимаю ситуацию такой, какая она есть, отбросив душевные терзания. Конечно, я немножко лукавлю, ведь я пишу эту статью отчасти чтобы оправдаться перед собой. В конце концов, у меня тоже есть на это право.
Риск — это часть игры, не правда ли? Мы принимаем допустимую по нашим меркам опасность. Конечно, хочется, чтобы мы проверяли на горе исключительно свою физическую готовность. Но это уже скалолазание на фанере, где вероятность получить травму ничтожна мала. Отказываясь от шлямбуров, мы добавляем опасности и считаем это более честной игрой. Идя на первопроход, мы готовы встретить новые непредвиденные сложности. Уезжая в удаленный район, мы принимаем возможность тяжелой эвакуации. Все это часть игры, вызов, если хотите, и все это нам нравится.
При движении с использованием искусственных точек опоры отсутствует момент чистой силы. Это чисто психологическая борьба с собой. Мы сами решаем когда забить шлямбур и выдохнуть, а когда продолжать сжимать очко.
Но никто из нас не хочет падать. Мы гоним эти мысли прочь, боясь заглядывать в бездну, чтобы она ненароком не подмигнула нам. И мы вновь и вновь вступаем в эту отчаянную игру с непонятным призом в виде вершины, ставя на кон достаточно много...
Эта статья с печальным финалом. Описывать такие события не просто. Потому я буду многословен. Не каждый день бываешь на другой стороне Земли.
Я сел за написание статьи еще в Чили, закончил уже здесь. Когда лежишь в больнице, есть много времени подумать, собраться с мыслями. Поскольку я автор, то могу себе позволить перебросить вас во времени в начало нашего путешествия, когда наши мысли заняты предстоящим восхождением.
Здесь все с ног на голову. Мы только садимся выпить с утра чашку ароматного кофе, отбрасывая прочь ночную дрему, когда вы уже с тоской смотрите на часы в ожидании конца рабочего дня. Мы подставляем лица ветрам и идем в потоки воды, хлещущие с небес, когда вы уже спокойно лежите в постели, укутавшись в одеяло, в ожидании очередного рабочего дня в рваном ритме мегаполиса. Когда мы собираемся за одним столом, чтобы за бокалом-другим превосходного вина сбросить напряжение этого бешеного дня, расслабить мышцы, да и просто поговорить по душам, вы уже проснулись, почистили зубы, выпили кофе и возможно даже убежали на работу, чтобы еще немного улучшить свою и без того улучшенную жизнь. У нас уходят последние дни лета, в то время когда у вас уже настойчиво стучит в окно весна. На этот месяц мы стали людьми с другой стороны Земли. Мы находимся в национальном парке Торрес дэль Пайне в далекой стране Чили, наверное, одном из самых красивых и невероятных творений природы. Здесь километровые гранитные исполины сплошной стеной стоят, как будто специально собравшись вместе чтобы дать отпор бешеным ветрам.
Без сомнения, Патагония последних лет уже не та, с которой пришлось столкнуться первопроходцам несколько десятилетий назад. Погодные окна по неделе и больше уже давно не редкость, в то время как раньше были известны сезоны, когда благоприятная погода стояла всего 12 часов в году. Наверное, поэтому многие сильные команды устремляются в Патагонию, чтобы нарисовать свои линии на безупречном вертикальном остроконечном граните южных Анд. В ближайшее время стоит ожидать появления множество новых невероятных линий и сильных перепрохождений старых маршрутов, ведь восхождения в этих горах по праву считаются высшим пилотажем в техническом альпинизме.
Вот уже третий год подряд мы «перелетовываем» зиму в Патагонии. Немного перетасовывается состав, но три человека присутствуют: Михаил Дэви, Сергей Дашкевич, Аркадий Серегин. Почему? А нам комфортно и интересно вместе лазить. Ведь альпинизм — это не только борьба, а больше общение. Эта поездка не стала исключением. Компанию нам составил Толя Ярунов — тренер. Точка.
И завертелось: сборы, самолет, Москва, Чили... Обычная экспедиционная жизнь.
В Пуэрто Наталесе мы встретились со Стивом Шнайдером. Это очень известный патагонец, проведший здесь около 19 сезонов. Он только что вернулся из долины где вместе со своей женой сделал завораживающий траверс всех башен Торрес дэль Пайне. Фактически, это три отдельных восхождения, каждое из которых часто становится целью целой экспедиции. Таким образом, по словам Стива, его жена стала первой женщиной, прошедшей этот сумасшедший траверс и первой женщиной, побывавшей на вершине южной башни. Кстати, Стиву, как и его жене 52 года. Стив отговаривал нас всячески лезть на Форталезу. Он рассказал про словенов, которые лезли по ребру слева от основной стены и их постоянно простреливало камнями. В дополнение, Стив рассказал нам историю про Джима Бридвела: когда Джим Бридвел подошел под стену и попробовал лезть, он повернул назад со словами типа: «никогда больше». В реальности, Джим Бридвелл наверняка посмотрел на все эти летящие камни, закурил сигарету или что там покрепче и выдал фразу, смысл которой можно передать примерно так: «да пошло оно все в пень!». Подытожив свою речь, Стив произнес: «Если у вас есть дети, не лезьте!». Дети у нас есть, но мы все равно решили все увидеть своими глазами.
Спустя несколько дней мы стояли под стеной Cerro Fortaleza с биноклем в руках и оценивали наши шансы на успех. Шансы, возможно, были, но, судя по серой массе под стеной и периодически летящим камням, стоило поверить Стиву. Однако, мы присмотрели относительно безопасный путь на Форталезу. Справа от стены можно было залезть по контрфорсу и далее через вертикальную стенку с непонятным рельефом выйти на уже более-менее развитый рельеф. Этот путь казался наиболее логичным, но предполагаемых сложностей было относительно немного. Как-то это не очень вязалось с концепцией проекта «Русский путь — СТЕНЫ мира». Стеной не сильно пахло. А еще геморройные подходы через часто падающий ледник не вызывали оптимизма.
Мы все всматривались и всматривались, терзаемые сомнениями. Наконец, решили оставить раздумья на потом и побежали вниз. Добежав до рюкзаков, брошенных под камнем напротив Cerro Escudo, мы с Аркадием остановились и еще раз глянули сначала на Форталезу, потом на Эскудо. Эскудо явно выигрывала в наших глазах. Близкий подход безо льда, большая 1200 метровая стена, расположение, которое должно защищать от ветров. Все это сильно выделяло Эскудо. Вот только она более хоженая, чем Форталеза. Более-менее логичный рельеф просматривался в левой, нехоженой части стены. По центру и справа уже кто ходил, кто-то пытался пройти. В общем, наследили порядочно. Дождались Мишу и предложили ему ознакомиться с таким вариантом. Миша капитан - решение принимать ему.
Миша подошел к делу основательно — достал бинокль и на 20 минут погрузился в изучение рельефа. В результате недолгих прений Миша принял нашу с Аркадием сторону. И совсем уже налегке и в приподнятом настроении от оставленных под камнем шмоток и там же всяческих сомнений мы побежали в базовый лагерь закреплять принятое решение запасенным чилийским вином и «Писко» (виноградная водка).
По заведенной в Патагонии традиции, стояла шикарная солнечная погода на подходах. Мы аккумулировали тепло, прекрасно понимая, что на восхождении, как бы нам того не хотелось нам придется не сладко, опять же по старой доброй традиции. Наши опасения подтверждались данными с погодных сайтов, которые мы получали каждый день с большой земли по спутниковому телефону. Чем ближе были сроки начала восхождения, тем хуже становилась погода. Такие колебания не добавляли настроя, ведь мы не забывали, где находимся. Может мы свою погоду уже упустили? Тем не менее, у нас в запасе было еще достаточно дней. Немного пугало, что Дэйву Тернеру на прохождение стены потребовалось 34 дня. Однако мы верили в собственные силы. Началась пора борьбы со скукой и надежды на улучшение условий в нашем маленьком мирке.
Отдыхали недолго. В один из дней Аркадий сообщил нам о том, что по спутнику нам пришел умеренно благоприятный прогноз на ближайшее время. Мы уже ученые, нас долго уговаривать не надо. Собрались и рванули наверх, полные решимости бороться до конца.
Вблизи стена впечатляла. Начинаясь полого, она все круче и круче забирала в верхней части. А самое волнующее было то, что в центральной части рельефа почти и не было. По Мишиным словам, раньше он такое не лазал – выбирали новые маршруты по естественному рельефу. Отступать и менять планы было поздно. Как-то же Дэйв Тернер здесь проскребся в 2008 году, да еще и соло.


Таким образом, спустя полтора дня, мы были готовы к переезду на полку, пройдя в общей сложности около 8 питчей.
На следующий день до обеда состоялся грандиозный переезд. Отсюда стена вставала сразу и круто. На самом деле, стена была абсолютно вертикальна, а рельеф крайне беден. Подобный рельеф в описании Дэйва Тернера значится как А4+. Стена одна, и рельеф тоже принципиальных отличий, как мне кажется не имеет. По сравнению с ней, как сказал Миша Дэви, наш прошлогодний маршрут на Пуансенот в Аргентинской Патагонии просто богат рельефом, хотя и там приходилось порой не сладко. Намереваясь начать движение по этой вертикали, я мучительно пытался запомнить хоть какой-нибудь рельеф для ускорения движения. Ведь находясь на стене, не видно ничего. А небольшие откольчики, пусть и непродолжительные, должны были немного ускорить продвижение. Фотоаппарат мне в помощь.
Периодически сверяясь с направлением по фотоаппарату, начал рубиться. Такая тактика ожидаемо дает свои плоды. Удалось минимизировать использование шлямбуров. Периодически, как и ожидалось, встречался непродолжительный рельеф, где ставились какие-то непонятные точки. Якоря, заходящие краем носика. Радовала только абсолютная вертикаль стены. В случае полета, стены может и не коснешься даже. Что интересно, встречалось много полочек, мизеров — можно лезть, но не застрахуешься. Так и рубились от рельефчика до рельефчика где на дырочных, но много где на рельефных скайхуках.
Сильно впечатлял ураганный ветер. Незабываемое ощущение, когда стоишь на рельефном скайхуке, под тобой местами сомнительная страховка, а в этот момент неожиданным порывом снизу тебя немного подбрасывает, иногда опрокидывает. В этот момент я инстинктивно приседал и пытался держаться хоть за что-нибудь. В один из таких дней увидели, что ветер сдул нашу палатку, оставленную под маршрутом как бы за ветром в мульде и заваленную со всех сторон большими камнями. Патагония — она с характером...
Проведя 2 дня на полке, мы развесили по этому монолиту 5 веревок и вышли таки на нормальный рельеф. Это было неплохое достижение, ведь дальше смотрелось существенно проще. Судя по фотографии, большие разломы логично выводили на кант стены, а там, хоть и не разбежишься с нашим грузом, но все же положительный РЕЛЬЕФ.
На следующий день нас ожидал очередной грандиозный переезд. Груза было много. Мы тащили огромное количество воды, еды и снаряжения. По нашей тактике, первая двойка с тяжелыми баулами улезает наверх и, пока третий подносит грузы, развешивает дальше веревки. Аркадий был главным гужевой силой. Мы с Мишей, утащив свои грузы наверх и забрав у Аркадия лишние веревки и снаряжение, отправились работать дальше.
Рельеф был сильно расчлененный и довольно развальной. При любом неосторожном движении в сторону Аркадия летели камни. Мы не спешили. Через веревку мы нашли хорошую полку и решили на ней делать лагерь. Веревки в запасе еще были и мы решили довесить еще чуток.
Последующие события требуют подробного описания. Через 30 метров я подошел к нависающему оффвизу, рядом с которым идет фифовая щель. Под ними полка. Сделал станцию в удобном месте десятью метрами ниже щели. По такому рельефу приятнее лезть, когда тебя видно, да и растяжение веревки в случае срыва меньше. Так как у нас не было камов огромного размера, а лезть в нависающий 30-метровый камин без страховки никакого желания не было, решил лезть по соседней щели. Она на вид глухая, под фифы. Начал лезть, оставляя точки под каждый шаг — падать на полку не хочется. Отлез где-то 3 метра от полки. Поставил фифу — вижу, что плохая, но альтернатива бить скайхук как-то не впечатляет. Вроде, можно рискнуть, ведь точки часто. Встаю — держит. Начинаю искать что дальше. Копаюсь с френдом в соседней щели, вылетает фифа, полет до полки, работает веревка. Точки выдержали, а нога нет... Дикая боль, пелена перед глазами, неестественно завернутая не шевелящаяся лодыжка... Все и так понятно...
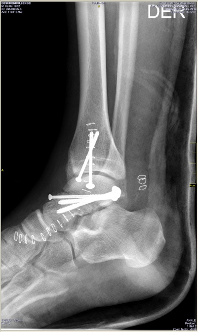
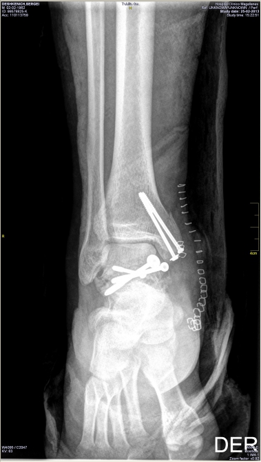
А дальше: бесконечный спуск, попытки вызвать вертолет, разборки со страховой (можно написать отдельную статью про мытарства), госпиталь, операция, длительное восстановление... Диагноз — перелом со смещением таранной кости и осколочно лодыжки. Что будет дальше? Поживем — увидим.
Что еще можно рассказать про Чилийскую Патагонию? Как нам показалось, здесь в целом погода благоприятнее, чем в Аргентине. Возможно, это обусловлено более низкой высотой, отсутствием большого ледника. Подтверждением данных слов служит факт наличия множества маршрутов, когда альпинисты висели по месяцу на стене. Представить подобное в районе Серро Торре сложно. Там народ не задумываясь валит вниз при приближении непогоды. Еще в Чили нужны пермиты на восхождения, оформлять которые нужно заранее, и в целом все намного сложнее, чем в Аргентине. Найти нормальные систематизированные описания маршрутов — задача непростая. За время пребывания в базовом лагере (японские ночевки) мы встретили всего несколько групп альпинистов. Все они имели целью пройти несложный классический маршрут на Северную башню. Самые отчаянные лезли традовый мультипитч на нее же. Все. Поэтому в Торресах и маршрутов схожено мало. Зато есть много места для творчества. Навскидку просматривались линии возможных первопроходов на башни Торрес. В общем, кому нужно творческого одиночества — велкам.
Экспедиция проходила при поддержке:
Министерства по физической культуре, спорту и туризму Свердловской области

Спонсоры проекта:
Фирма "Манарага"

Штурмовая одежда для всей команды предоставлена НПФ "Баск"

перильные веревки предоставлены НПО "Аскан"

Мои личные спонсоры:
BEAL - качественные веревки и не только
SCARPA - превосходная обувь
373
Комментарии:
Войдите на сайт или зарегистрируйтесь, чтобы оставить комментарий


















Я сам ломал таранную кость 2,5 года назад (только смещение было маленьким, обошлось без операции, только гипс на 2 месяца). Я не врач, поэтому все нижесказанное - это личный опыт , а не рекомендации к действию.
Главная неприятность - таранная (и пяточная) кость - губчатая. поэтому срастается долго. У таранной кости очень слабое кровоснабжение, поэтому в бОльшей части случаев из-за длительной иммобилизации развивается асептический некроз. Поэтому даже после восстановления объема движений наблюдается сильная болезненность в некоторых положениях стопы, а также боль в суставе, если долго на ногах находишься.
Традиционный подход полная иммобилизация - циркулярный гипс на 2-3 месяца. После снятия гипса - потихоньку начинать разрабатывать.
Но в какой-то старой советской книге по травмотологии (сейчас уже не помню где и в какой) я читал, что нужно процесс восстановления нужно начинать значительно раньше.
Вот тут я уже точно не помню сроки, боюсь ошибиться, поэтому изложу только общий подход (сроки очень грубо приблизительные, поэтому нужно проверять):
через 2 недели после наложения гипса начинать двигать стопой вверх вниз, насколько позволяет гипс.
через 3 недели - к стенке приставить плотную подушку и, находясь в горизонтальном положении, начинать на нее давить кончиками пальцев (т.е. тоже самое упражнение, только с усилием).
через 4-5 недель - циркулярный гипс меняется на лангету и , находясь на 2-х костылях, ходить, понемногу наступая на кончики пальцев.
через 6 недель - лангета снимается. начинается реабилитация.
Еще раз повторю, что это не рекомендация к действию. Хотелось бы услышать мнение травматологов по этому поводу, особенно работающих со спортсменами.
Да, Стив, человечище, за две недели до вас, он "отмазал" меня перед рейнджерами, и я без пермита смог пройти на гору. И во время восхождения мы встретили испанца, который шел этот траверс, соло ,5 дней и 50 кг груза в бауле. Перец!!!
И удачи в Патагонии в следующем сезоне!
В паузе есть время развить творческое начало )
Единственная строчка, где не согласился с тобой: "Эта статья с печальным финалом."
На самом деле финал как раз счастливый ) ты дома , пишешь статьи готовишься к новым проектам, растешь внутри, перевариваешь опыт...
Выздоравливай ! Все впереди!
Увы, у меня произошел подобный случай в Апреле на Калимносе. Хотелось бы узнать Ваш личный опыт. Могу я написать вам в личку? Через сколько недель после операции вы начали полностью грузить ногу?
Очень художественно, жизненно и эмоционально написано. Люблю такие живые вещи.
Ты молодец. Береги себя!