Про самую большую в долине Морьен зону катания и немного про пользу страховки :)
Основными тегами при выборе места для катания в январе 2014 были: маршруты для прогулок с детской коляской, бюджетность, возможности для фрирайда и ски-тура. Собственно, за счет ски-турных выходов планировалось сэкономить на скипассе. Всем хорош Les Karellis, но заманчивых предложений по проживанию там все не находилось, а забронировать уютное шале очень хотелось:) В итоге мы остановились на самой крупной (если не считать Orelle, в котором только одна гондола – но ведет сразу в Три Долины) в долине Морьен зоне катания - Les Sybelles.
Попасть сюда можно по серпантину из St. Jean de Maurienne (22 км), где есть ж/д станция. Жить - в маленьких поселочках. В долине реки Арван расположились St Jean d’Arves (тут мы и нашли шикарные, просторные апарты в шале на 6 спальных мест по 200 евро в неделю, с открытым бассейном и сауной) и чуть выше St Sorlin d’Arves (самый крупный, пара магазинов и боулинг), между ними расположена сыроварня, где можно разжится парным молочком и сырами. Попасть сюда можно по серпантину из St. Jean de Maurienne (22 км), где есть ж/д станция.
Оттуда наверх ходит автобус (билеты тут - http://www.altibus.com), такси недешевое - 50 евро.
Наши домики расположились на южном склоне (в правой нижней части снимка).
До ближайшего подъемника 15 минут пешком вверх по серпантину или на скибасе.
Через хребет есть варианты с многоэтажной застройкой: Le Corbier (посимпатичней) и La Toussuie (местами напоминает Бирюлево). Еще за хребтом, достаточно низко (1100 м) есть поселочек St Colomban. Все эти деревушки связаны подъемниками, есть и автобусики в пределах одной долины. Не так далеко есть еще маленький курорт Albiez-Montrond, а если пересечь хребтик в южном направлении – попадешь в La Grave.
Январь выдался теплым, 12 января на нижней станции на полутора тысячах было солнечно, +12 и пахло весной. Потом, конечно, были небольшие снегопадики, но температурный режим был крайне мягкий, а снег достаточно специфический. Так, первые дни вверх можно было идти без камусов, но попытка ехать вниз вызывала смех у местных зайцев, скольжения на уклонах меньше 25 градусов не было… Во второй половине января немного похолодало, держался легкий минус и ночные снегопады. Район, при нормальном уровне снежного покрова весьма интересный. Перепады здесь не так велики, но рельеф есть.
Для встречи восхода и ски-тур разминки есть пара вершинок в пределах полуторачасовой прогулки. Лучший снег на Pte du Chatel, так как солнце сюда не заглядывает в это время года.
Вид с балкона, слева Pte du Chatel.
А это вид с вершины, до открытия подъемников еще час :)
А днем - активное таяние...
Здесь много тропинок и дорожек, по которым приятно ски-турить, встречаются лисы, зайцы, горные бараны. За последними глаз да глаз, так и норовят спустить что-нибудь. Народу немного, так что после снегопадов везде хорошо.
На мой взгляд, интересней всего в Сорлине. В Ле Корбье и Ла Туссире рельеф беднее, хотя из последнего можно катать северную стенку зоны Сант Коломбана, где есть специальный бугель (№7) для возвращения обратно. В Ле Корбье просторные поля, по свежему снегу - одно удовольствие. Уклоны по большей части умеренные, ориентирование несложное. Неплохие крутяки под креселкой №6 в Коломбане, но в этот раз там было очень мало снега. Есть ледник, но идти туда далековато и не очень удобно. Малое количество снега не смогло заровнять многочисленные ручьи и овражки на склонах вне трасс, так что иногда приходилось снимать лыжики. Про лавинную опасность забывать нельзя, на южных склонах часты мокрые лавины. Ветра за все наше пребывание практически не было, но по верхам пару раз образовывались небольшие досочки.
Для спидрайдинга/флаинга тоже есть варианты, но перепады средние, зато мало деревьев. В Ле Туссире даже проводится один из этапов чемпионата Франции о полетам с лыжами.
Для прогулок с коляской есть несколько приятнейших маршрутов, автомобильное движение вялое. Самые красивые виды - с верхней дороги (route panoramique). А можно сдать крошку в детский садик (baby care) и покататься вместе :) Принимают малышей аж с 2 месяцев. Всего 16 евро за 5 часов. В La Chal работают добродушные, опытные девушки, прекрасно владеющие языком жестов)) Но знание французского для молодых родителей здесь точно не будет лишним ;)
Здесь есть, где оставить свой след...
Есть, где помедитировать в тумане...
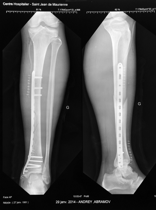
Ну, и немного про страховку. Угораздило меня попасть лыжей под дерево на краю трассы – удар, рывок, лыжа отстегнулась, но было поздно…голень оказалась слабее. Спасатели прибыли оперативно и довезли до подъемника – там было метров 300 всего. Через часик прибыла скорая из St. Jean de Maurienne, ближайший госпиталь там. Страховая сказала, что все оплатит (полис от Ренессанс), чему поверили и спасатели, и врачи. Быстро стало понятно, что просто гипсом мне не отделаться – назначили операцию на следующий день.
Госпиталь пристойный, титан швейцарский, кормят французской кухней, есть хирург, обучавшийся в Киеве и говорящий по-русски. Итого шесть дней. Прямо от госпиталя начинается сеть тропинок для костылинга, есть парапланерные старты, в городке бесплатный вай-фай. Но вот лыжи оставили в гараже, и какая-то французская сволочь их оттуда подрезала. Так что если стафф новый и красивый, лучше настоять, чтобы его принесли в палату – надежнее будет. А комплект был отличным - всего 3750 г. лыжи с креплениями, правда, в следующем сезоне будет и карбоновая версия Конвертов, выигрыш в весе 380 г., как раз компенсирует разницу в весе Динафитов и Фритчей.
Но приятно иметь дело с цивилизованной страной. Костыляя вокруг госпиталя, увидел надпись "Жандармерия" и решил у них спросить, что делать, если украдены лыжи. Полицейские вежливо выслушали мою историю и сказали, что на такой случай у госпиталя должна быть страховка и что это проблема администрации, не требующая участия полиции. Но на всякий случай составили протокол на французском и копию для администрации госпиталя выдали. Администрация, правда, была не рада бумагам, но я их опустил в почтовый ящик:) И вот "почта россии" принесла письмо от страховой компании госпиталя, где очень вежливо интересовались датой покупки снаряжения. Удостоверившись, что лыжи совсем новые, попросили данные счета и ответили, что стоимость комплекта будет перечислена. Так что можно заказывать карбоновые Конверты на следующий сезон:)
Будут в следующем сезоне и новые цветовые решения у Marmot:
Надеюсь что и пластина сделает свое титановое дело, и сезон будет катальным:)
80
Комментарии:
Войдите на сайт или зарегистрируйтесь, чтобы оставить комментарий
















Только вот новость про травму расстраивает!
Поправляйтесь и берегите себя!
Спасибо за описание. По ощущениям, вы выбрали самый спокойный и душевный угол для проживания и хождения.
В высокий сезон "бирюлевские" и "бутовские" свою сторону искатывают в хлам к 11.
Насчет страховки...
Первый раз испытал ее действие, к сожаление на дочери
Сложный осколчатый перелом запястья, операция
ждали несколько часов в операционной пока придет подтверждение от страховой
Швы сразу не наложили, сложный случай, страховая замучила вопросами, почему да почему, и это в переписке
Каждый раз приходится ждать прихода подтверждения платы после перевязок по несколько часов, не отпускают
Самое интересное что только пострадавшие из России удостаиваются такой чести, таких на больницу набралось человек шесть...
у нас что все страховые такие
P.S. коляске есть альтернатива с полугода http://www.horydoly.cz/deti/deuter-kid-comfort-iii.html у меня дочка пользуется Deuter Kid Comfort II, сын вырос в чем то попроще без бренда.